Dental Clinic in Indiranagar
At Tooth Affair, we are known for delivering best oral health care services to all individuals.
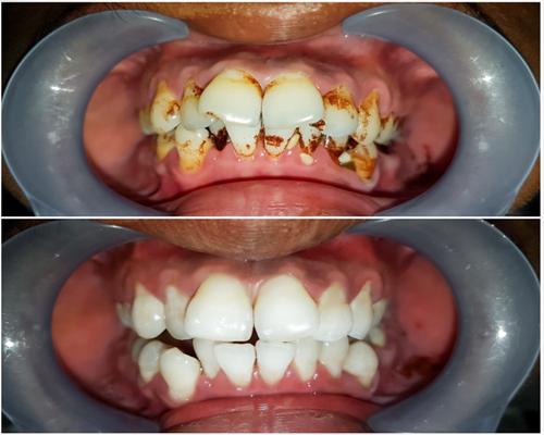
Our dental care center has carved a niche in the industry by offering excellent oral and dental services at all levels. Provided by a state-of-the-art facility, latest technology, and professionals who are dedicated & well qualified, We ensure that our patients are treated with the greatest care and concern.
- Complete Crown
- Cosmetic Filling
- Dental Implants
- Dental Crown
- Dental X-Ray
- Root Canal
Read More
Our Success Stories in Numbers
0
Happy Patients
0
Experts Doctors
0
Dental Procedures
0
Implants Placed
Clean Aligners
Visiting Dentist during COVID
Have Dental Problem : Call us at +91 7676206206 or make an Appointment
Meet Best Dentists in Indiranagar
Tooth Affair's dental experts use the latest modern tools and technologies to give you an award-winning smile and an enticing look.
We have a love for what we do! The newest approaches and techniques are used by our friendly and professional team of dentists and nurses make your smile look as vibrant as possible. We have a love for what we do!
What Makes us Different?
Awesome Technology
You shouldn't take chances when it comes to smile. Don't compromise for services that include outdated techniques!
Experienced Team
Our dentists, together, have more than half a century of practical practice. They are excited for you to bring this into effect!
Effective Results
As never before, our fair prices made thousands of people happy with a fresh, beautiful smile!
Our Patients Say
One of the best dental clinic in Bangalore. They have all latest equipments. They give fast solution for any dental problems. I am consulting here for past 10 years...especially Dr. Rashmi and Dr. Sandeep are very good. I have done with root canal and cap for two of my teeth. One 10 years back and other teeth 4 years back. Absolutely fine and I don't have any issues with those teeth. Thanks to Dr. Sandeep and Dr.Rashmi.
Last week I went to tooth affair ,I was having severe toothache ,dr Sandeep told about the root canal procedure n I went through painless procedure of RCT ,good experience n m very happy with dedicated doctors and staff in tooth affair.
I have been visiting this place for the last 3 years.i find their treatment and care upto the mark. No post treatment issues and good follow ups from clinic
Read Our Latest Articles
How to craft Perfect Smile?
A Smile is an expression that makes every circumstance straight. Orthodontic therapy is a chance to straighten but shift teeth, in line with improving the look of the teeth, but so much works
Read MoreBest ways to protect your teeth
The way you clean is just as important, it is just about as bad as not brushing at all to do a terrible job of brushing your teeth. Taking the time to move the toothbrush for plaque removal in soft, circular movements.
Read MoreKnow your Mouth
Cavities are decayed areas of your teeth which grow into small holes or openings. A variety of causes, including not brushing your teeth properly, constant snacking and sipping sugar drinks, cause cavities.
Read More



